La modalidad online permite acceder a una consulta dermatológica profesional desde cualquier lugar, de manera segura y eficaz.
A través de plataformas certificadas, los pacientes pueden enviar imágenes, recibir orientación diagnóstica y tratamientos personalizados, con recetas válidas en la Unión Europea y Argentina.
Esta modalidad resulta especialmente útil para el seguimiento de patologías crónicas, consultas de control o segundas opiniones médicas.
📍 Servicio disponible a través de ConsultorioMóvil.net
Servicios que brindamos
Consultas presenciales
Reconocida por su liderazgo en la formación en ecografía cutánea en Iberoamérica, la Dra. Fernández Quiroga imparte cursos, talleres y conferencias dirigidos a dermatólogos, médicos clínicos y profesionales de la salud.
Su enfoque docente combina conocimiento teórico, práctica aplicada e interpretación de imagen dermatológica, promoviendo una formación médica de excelencia.
Además, ofrece asesoramiento académico e institucional a centros médicos, universidades y sociedades científicas que deseen integrar la ecografía cutánea y otras técnicas de imagen en sus programas formativos o de investigación.
Formación continua disponible a través de InsightDerm Academy
La Dra. Carolina Fernández Quiroga ofrece un abordaje integral de la dermatología, combinando la experiencia clínica, la tecnología diagnóstica y la docencia médica. Sus servicios están orientados tanto a pacientes como a profesionales de la salud, con un enfoque basado en la evidencia y la innovación.
Teledermatologia
La Dra. Fernández Quiroga atiende en Barcelona y alrededores, ofreciendo diagnóstico y tratamiento dermatológico integral, con especial atención en:
Dermatología clínica y quirúrgica
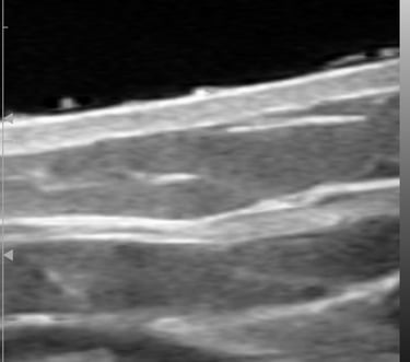
Ecografía cutánea de alta frecuencia
Evaluación de tumores y lesiones pigmentarias
Patologías inflamatorias como hidradenitis, psoriasis o dermatitis atópica
En cada consulta se prioriza la atención personalizada, la precisión diagnóstica y el acompañamiento humano durante todo el proceso de cuidado.
📍 Centre Mèdic Carbonés – Sant Vicenç dels Horts
📍 Centre Mèdic MediBaix – Gavà
Comprometida con la innovación y el avance científico, la Dra. Fernández Quiroga participa activamente en ensayos clínicos, publicaciones y proyectos de investigación relacionados con dermatología médica y ecografía cutánea.
Su labor contribuye al desarrollo de nuevas herramientas diagnósticas y a la validación de tecnologías aplicadas a la piel, fortaleciendo la conexión entre la práctica clínica y la ciencia.
Investigación clínica
Asesoramiento académico y formación profesional
